Macular Degeneration

What is macular degeneration?

What is macular degeneration?

Macular degeneration is damage or breakdown of the macula, the small part of the retina responsible for central vision. It affects both distance and close vision and can make some activities like threading a needle or reading very difficult or impossible. Macular degeneration is the leading cause of severe visual loss in people over 50.

There are two types of macular degeneration, “dry” and “wet.”

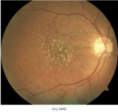
Dry AMD

This form is quite common. About 80% (8 out of 10) of people who have AMD have the dry form. Dry AMD is when parts of the macula get thinner with age and tiny clumps of protein called drusen grow. People with dry AMD may have drusen, pigment abnormalities, or geographic atrophy (an area of cell loss in the retina). You slowly lose central vision.

All patients with AMD start as dry, and in the earliest forms of the disease, drusen are present but do not cause compromise of the vision. Over time, the number and size of the drusen can increase, and the retina overlying the drusen can become increasingly atrophic with a decrease in visual function. When the atrophic retinal areas coalesce, the areas become known as geographic atrophy. If areas of geographic atrophy affect the center of the macula, the vision can be significantly affected.

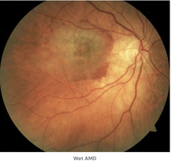
Wet AMD

This form is less common but much more serious. Wet AMD is when new, abnormal blood vessels grow under the retina. These vessels may leak blood or other fluids, causing scarring of the macula. You lose vision faster with wet AMD than with dry AMD.

Many people don’t realize they have AMD until their vision is very blurry. This is why it is important to have regular visits to an ophthalmologist. They can look for early signs of AMD before you have any vision problems.

What causes macular degeneration?

Although the specific cause is unknown, you are more likely to develop AMD if you:

  • Eat a diet high in saturated fat (found in foods like meat, butter, and cheese)
  • Are overweight
  • Smoke cigarettes
  • Are over 50 years old
  • Have hypertension (high blood pressure)
  • Have a family history of AMD

Having heart disease is another risk factor for AMD, as is having high cholesterol levels. Caucasians (white people) also have an elevated risk of getting AMD.

What causes macular degeneration?

What are the symptoms of macular degeneration?

Macular Degeneration causes different symptoms in different people. In the early stages, it is barely noticeable, and can affect only one eye.

What should I watch for?

AMD causes your vision to change over time. You may not notice these changes when they happen. But you need to catch vision changes as soon as possible. Treating them early can help slow or stop further loss of sight.

  1. You should use an Amsler grid every day to monitor your vision. Here is how to use the Amsler grid
  2. Check each eye individually, with glasses, from about 12 to 15 inches away
  3. Look at the central dot and assess the grid pattern for distortion, waviness, darkening, or missing areas

Place the grid somewhere easily seen, like in the bathroom mirror. If seeing the grid becomes part of your routine, it is easier to remember to use it.

Similarly, other straight lines may appear distorted, such as door frames, window blinds, and highway stripes. With the development of any of these vision changes, a repeat examination should be performed immediately to assess the retina for any signs of wet AMD. Treatment should be initiated as soon as possible to minimize any damage.

How is macular degeneration diagnosed?

During an eye exam, your ophthalmologist may ask you to look at an Amsler grid. This grid helps you notice any blurry, distorted, or blank spots in your field of vision. Your ophthalmologist will also look inside your eye through a special lens. He or she can see if there are changes in the retina and macula.

Your ophthalmologist will put dilating eye drops in your eye to widen your pupil. This allows him or her to look through a special lens at the inside of your eye.

Optical coherence tomography (OCT) is another way to look closely at the retina. A machine scans the retina and provides very detailed images of the retina and macula.

Your doctor may do fluorescein angiography to see what is happening with your retina. Yellow dye (called fluorescein) is injected into a vein, usually in your arm. The dye travels through your blood vessels. A special camera takes photos of the retina as the dye travels throughout its blood vessels. This shows if abnormal new blood vessels are growing under the retina.

What are the treatments for macular degeneration?

Dry AMD treatment

Right now, only dry AMD with geographic atrophy can be treated. Two new medications are available: pegcetacoplan and avacincaptad pegol. One of these will be injected into your eye to slow the atrophy. Hopefully, this will delay vision loss.

There is no treatment for drusen. However people with lots of drusen or serious vision loss might benefit from taking a certain combination of nutritional supplements. A large study (AREDS and the later AREDS 2 study) found people with certain drusen may slow their dry AMD by taking certain vitamins and minerals daily. Your eye doctor can tell you if vitamins and minerals are recommended for your dry AMD, as not all forms will benefit from the AREDS supplements. Beta carotene should not be used by smokers as it raised the risk of lung cancer.

Wet AMD treatment

To help treat wet AMD, there are medications called anti-VEGF drugs. Anti-VEGF treatment helps reduce the number of abnormal blood vessels in your retina. It also slows any leaking from blood vessels. This medicine is delivered to your eye through a very slender needle.

Laser surgery may also be used to treat some types of wet AMD. Your eye surgeon shines a laser light beam on the abnormal blood vessels. This reduces the number of vessels and slows their leaking.